
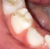
Обнаружила сегодня у дочки на зубике такую точку. Уверена, что вчера ее не было🤷🏽♀️думаю, это кариес. Вопрос:как это лечат? Требуется ли укол или просто почистят? Кто сталкивался?😐



@oksa137, нет, он просто формы такой) у меня точно такие же жевательные. Там все чистенько
А в следующем мне кажется скоро будет дырочка. Пусть тоже посмотрят.
При не глубоком кариесе без наркоза делают, мы на кафедре детской стоматологии уже 4 сделали, наркоз ставили только однажды. С наркозом дочка даже хуже перенесла лечение, чем без него, но там глубоко сверлить надо было
@_marimol_, пока подождем, конечно)) у мужа выходной в четверг. А одна я не поеду😂😂
@tomochka_94 подождите пару дней, может само съестся. Все равно выходные
@_marimol_, да я тоже так подумала сначала. Один раз было такое. Но что-то счистить не получается
@tomochka_94, у нас тоже такие жевательные глубокие🙈