
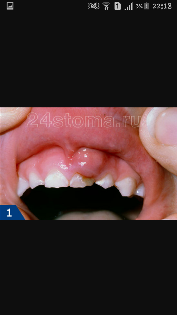
Всем добрый день! У кого было так же?Ходили к стоматологу сказали обрабатывать ромашкой и солью. Скажите может у кого то было так же у нас не прям так меньше но хочется вылечить быстрее



Да это из за кариеса, доче 4 годика, хотя когда мы пошли в др стоматологию нам сказали зачем удалять? Пусть так ходит, мы были в шоке, но все равно удалили. Просто он же может и ночью разболеться, а если простынет то и флюс может образоваться, там же гной. А когда удалили то Свищ вместе с зубиком и вышел. Так что смотрите сами, посоветуйтесь с врачами😊😊😊
Это свищ, желательно зубик удалять, потому что если застудит может образоваться флюс. Нам так сказали в стомлайне. Мы удаляли зубик, но в стомлайне не удаляют деткам😞😞😞. Но лечат👍
@kozhaiberdieva, сходите в Биссу,так к детям хорошее отношение.при мне ребеночку маленькому зубки лечила девушка,так он даже не пискнул.
А солью осторожнее,чтобы десна не обжечь.Я один раз переборщила,и во рту все щипело.
@kozhaiberdieva, мне вырвали зуб.Потому что без конца эта бяка вылазила,и потом боли начались.Еще можно купить в аптеке кору дуба,запаривать и делать примочки.
Это вроде свищ ,там скапливается гной.у меня тоже так было,оказалось,что под зубом киста была
у меня так бывало под нижним зубом, оказалось что в нем киста. а так , ниче страшного нет , он не болит и быстро проходит. я вообще иглой прокалывала.
Конечно, я тоже переживала, но все таки решила удалить, потому что это во первых инфекция во рту гуляет