
девочки стоматологи. помогите пожалуйста. интересует левая часть снимка, левая 6капод временой пломбой уже 3 месяца. уже как две недели есть чувство онемения слева на челюсти и жжения. нет ли там какого нибудь воспаления. спасибо Вам!



@marir ну, да. были слова, если зуб заболит тогда удаляем...а если зуб удалить лекарство выйдет вместе с зубом, или нужно будет его как-то другим способом вытаскивать?🙁😨только не резать...уже 2 раза десну резали с этим зубом...
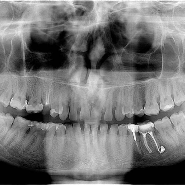
Эм...хирург пломбировал корневой канал?сильно...когда я писала о хирурге,я имела ввиду удаление зуба,врятли удастся спасти этот зуб,тем более,что он начал болеть.скорее всего хирург скажет,что вылечить не удалось этим его волшебным материалом выведенным за верхушку и удалит вам по тихому зуб!
@marir не хочу прославлять стоматолога. он и есть хирург. сказал что с целью лечения выведено лекарство, это временная пломба
Вероятнее всего к хирургу вам(пломбировочный материал вывели за верхушку корня.где лечили?
@galka555 мост??? Вы им испортите соседние 2 зуба!!! даже не думайте об этом!!! спасайте зуб!
Уколы ставили. Какие именно не помню, потому что это давно было. Лет 6 назад. Потом сказали ждать...все рассосется
@nadyaus а как вашу челюсть лечили дальше? я на гв. наверное придется заканчивать
Это вам так канал пломбировали? У меня несколько лет назад перепломбировка разъела челюсть (не знаю как по научному, но выглядело на снимке также). Прикусывать было больно и онемевшая челюсть была. Делали несколько уколов в десну, чтобы облегчить. Онемение больше года проходило, а болеть при прикусывании перестало где-то через месяц. Это косяк стоматолога
@galka555 удалять ненадо! зубы не волосы.... а имплантант очень дорого стоит! ищите варианты спасти зуб! варианты есть!
@galka555 а как он его убирать будет оттуда, он не сказал???
@rusro ну это я в курсе. как мне врач сказал это с целью лечения, лечим периодонтит
какой-то добрый доктор, не пожалел пломбировочного материала ((((
@borisenko отказались что-либо комментировать, сказали к своему стоматологу со снимком
@borisenko делала только что в другой стоматологии не там где лечусь...к стоматологу своему завтра
Эмм, а вы не в стоматологии делали снимок? Его что никто не смотрел?
Думаю удалят и вычистят сразу хорошо лунку.не придётся ничего резать,но стоматолога я бы сменила на вашем месте.