
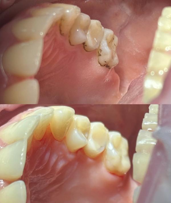
Что может быть приятнее?🥹
Особенно меня всегда распирает от радости,когда детки ,которые боялись до ужаса стоматологического кресла приходят ко мне с улыбкой 🫂

Люблю то,что делаю ❤️


Уровень любви к своей профессии:
Отпахав целый день без перерыва на обед ,вечером редактировать до/после и наслаждаться результатом 💞