
Отработала вчерашнюю смену под обезболивающими, несколько дней болит голова из за полисинусита, прибежала домой и легла
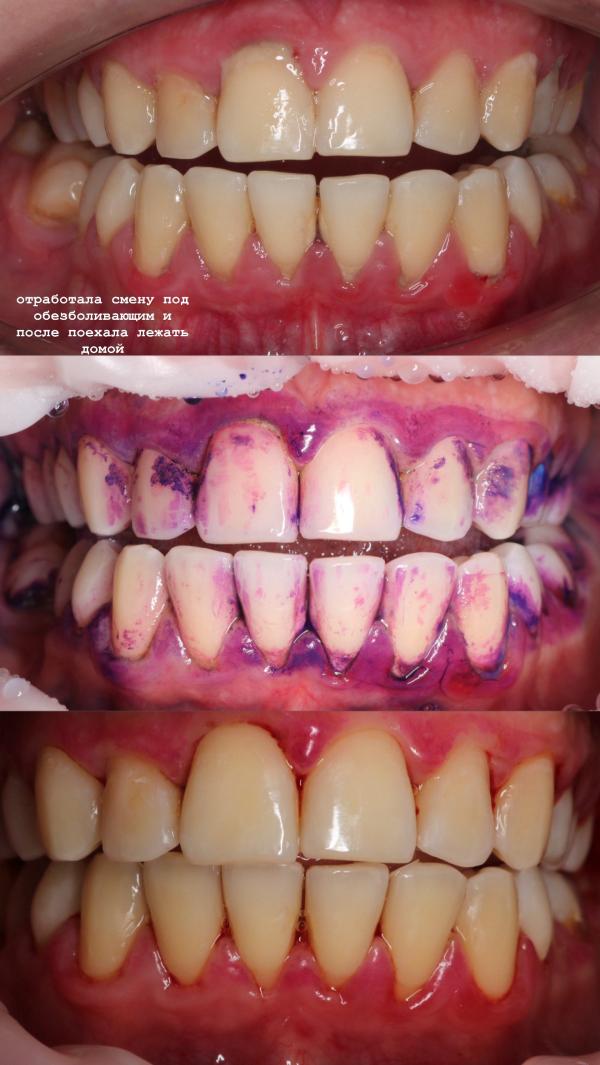
Пациентка 25 лет, очень очень большое количество отложений над и под десной
Провели вчера наддесневую гигиену, обучение гигиене, следом проведем поддесневую
После сфотографируем как наша десна восстанавливается