


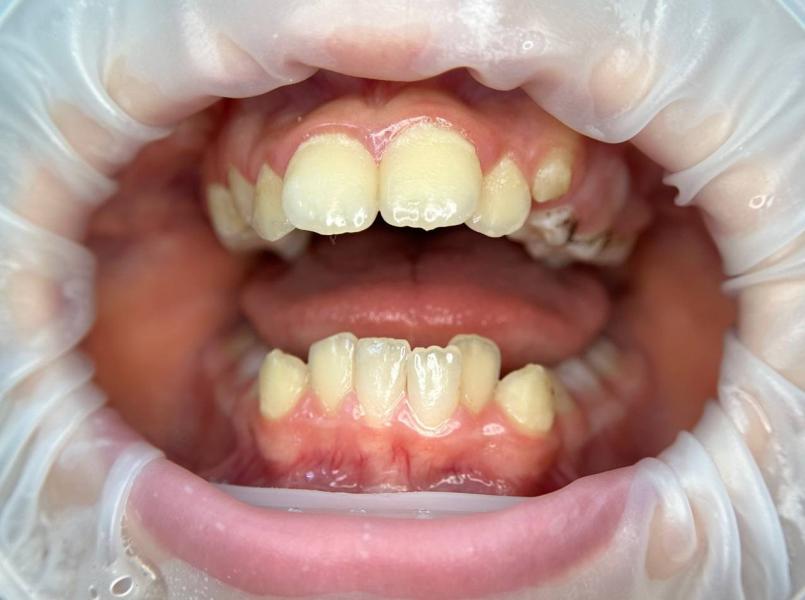
Сегодня ко мне обратились родители 11-летнего мальчика Никиты с обеспокоенностью: у их сына появился неприятный запах изо рта и кровоточивость десен.
При тщательном осмотре я обнаружила значительное скопление зубного налета – верный признак недостаточной домашней гигиены. Этот налет не только вызывал дискомфорт, но и создавал благоприятную среду для активного развития кариеса, угрожая здоровью зубов.
Чтобы вернуть свежесть дыхания, остановить воспаление десен и, что самое главное, предотвратить появление кариеса, я провела комплексную профессиональную гигиену полости рта. А для надежной защиты и укрепления эмали выполнили глубокое фторирование.



Боюсь представить, что с лицом ребенка при таких узких челюстях 🙈 куда родители смотрели? Это ж ужас.