





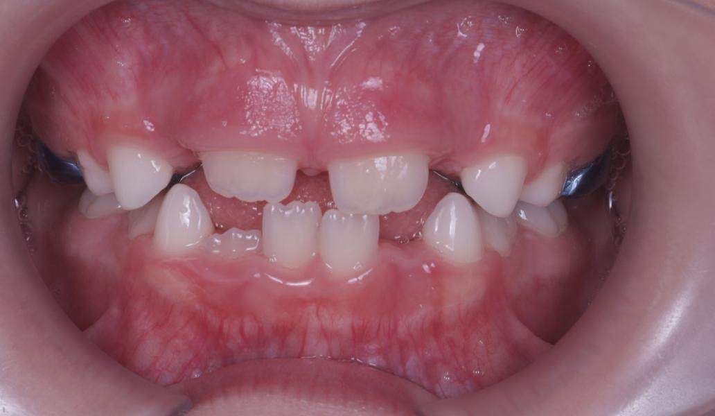
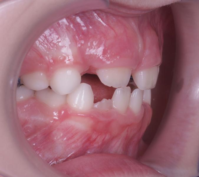
Получила я почти все фото из клиники. Смотрю, вроде, вижу результат по челюсти..но,конечно,не уверена, что это максимум, который можно было получить. Марко-Росса еще стоит
Брекеты ему 100% будут нужны потом
Фото 2,3 - 30.05
Фото 4 - 07.07
Фото 5,6 - 19.09
Фото 7,8 - 13.11
#даняиортодонт
@markova.margosha, нижний центр у меня тоже не ровный 😂 врачей бесит, Меня нет))
Но у вас хороший результат!!
@yuls_gladkikh, поняла . Мы вот недавно сняли,мне тоже хотелось лучшего результата по расширению ,но мне объяснил врач,что они смотрят чтобы верхняя челюсть не расширилась за пределы нижних задних зубов,поэтому у всех разное расширение получается( это физиология
@markova.margosha, это да, это 100% так и надо. Но низ же должен подтянуться да верхом
@yuls_gladkikh, у нас совсем немного подтянулся ,передние тоже остались скрученными
Нам тоже грозят брекеты,но я пока думаю на счет них…