
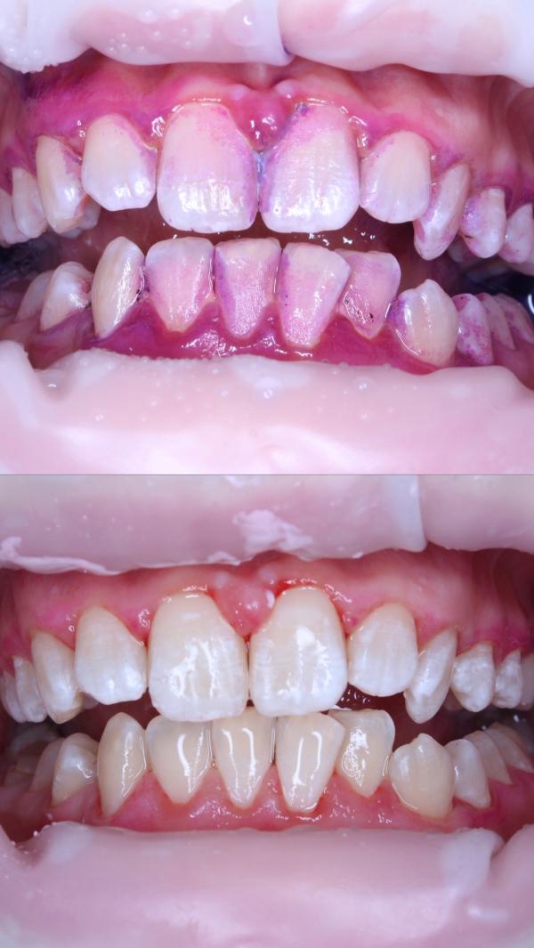
Пациентка была крайне любознательной, задавала очень много вопросов, касаемо правильной гигиены
Показала ей технику чистки щеткой, монопучком, нитью
Рассказала про хорошие бренды
После окончания гигиены, она сказала, что гигиену делает раз в 6 месяцев, но так тщательно, безболезненно и с обучением еще никто не проводил❤️