
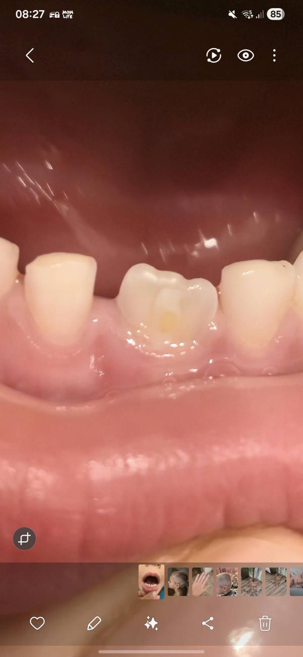
Здравствуйте. Подскажите, пожалуйста, вылез коренной зуб и такой. Что это ? На этом месте был молочный зуб с вывихом ( травма) к стоматологу пойдем.



@suetolog1990 У нас были повреждены молочными зубами. Коренные вылезли раньше, а те ещё не выпали.
зачаток молочного пострадал после травмы, возможно, предложат чем-то покрыть (айкон) либо просто реминерализирующую терапию и наблюдение
У меня у дочки тоже так два передних вылезли. Ещё хуже было. Делали пломбирование 🤷♀️. Сказали нам по другому никак. Возможно вам ещё можно что-то легче сделать.