


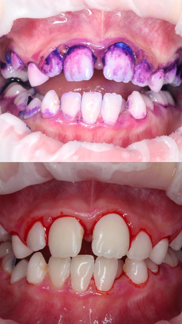
На гигиене сегодня был мальчик 10 лет
Очень воспаленные десны, кровоточат сильно
Провели лечение, отпустили
Нормализуется за пару дней
Вообще сегодня день классный
Такие хорошие добрые пациенты сегодня были у меня, такой вайб классный



ЗДРАВСТВУЙТЕ. У мальчика очень испорчены зубы(( можно будет да хоть по одной лечить
Можно, конечно
Вам надо к врачу детскому терапевту
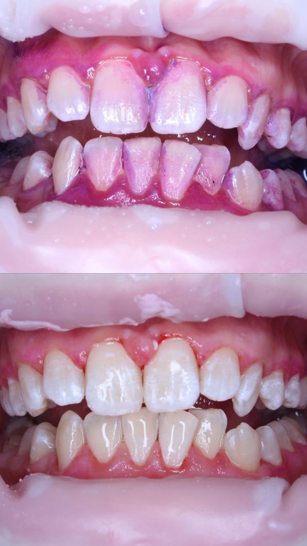
На 2 фотке у ребенка не привальный ведь прикус?
Да, он носит расширяющий аппарат, как раз на лечении у ортодонта
@dianamir98, Пусть Всевышний ускорит и облегчит ему это лечение 🤲🏼
Какие у вас красивые глаза!