
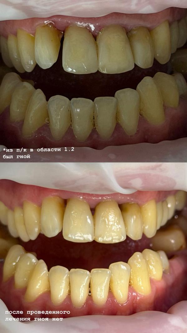
Пациент обратился в возрасте 37 лет
С жалобой на гноетечение в области бокового резца
Имплантолог сказал удалить, поставить имплант
Удалять зуб пациент не планировал и хотел постараться сделать все возможное
Провели лечение, гноетечение прекратилось
В течение 6 месяцев связка вокруг зуба будет образовываться.
Получается, удалять не так остро и стоял вопрос?
Почему имплантолог удалять сразу говорил ?
В стоматологии весь вопрос стоит в том, с какой точки зрения смотреть.
Если смотреть с точки зрения пародонтолога(меня)-за многое можно взяться и постараться сохранить
Если смотреть со стороны имплантологов, смысла нет и надо закручивать импланты)
@dianamir98 грустно и печально, для пациентов, когда смотреть с точки имплантологов. 🤔
А вам благодарность,что так не "рубите с плеча" , а помогаете сохранить зубы ❤️ 🌷
Так оголены зубы🥲