
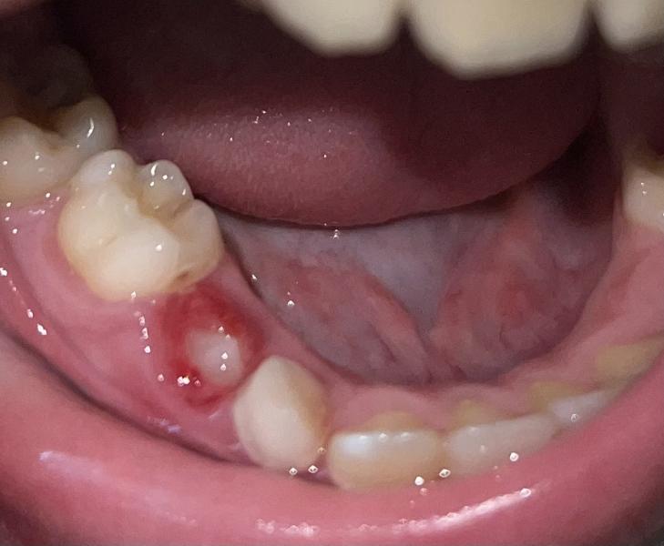
Девочки у старшего мальчика зуб 🦷 шатался , и вот щас сильно начал шататься когда ел , я взяла ему выдернула ,и смотрю что то белое твердое там , что это может быть девочки ?



Можно сходить, на соседнем зубе вроде кариес боковой, лучше сразу залечить
@nikakmenyanezovut, Я просто первый раз с этим сталкиваюсь , и панику начала поднимать @lida.garshina,
@lida.garshina, просто меня в бего напугали , когда среднему удаляла зуб , они сказали что под седацией надо , так как у него мол корни большие очень и больно будут
@nikakmenyanezovut, @lida.garshina, это реально зуб девочки ?? Я думала что корень должен тоже быть . А как это так быстро зуб коренной выходит ? Если только молочный упал
Ну бывает. У молочных Зубов не бывает больших Корней. Они ж на то и молочные. Значит постоянный уже лез если этот шатался
@nikakmenyanezovut, просто почему так говорю , когда среднему удаляли зуб в бего , они сказали что бе седации никак , так как у него очень большие корни и ему больно будет , поэтому это вспомнила я
@lida.garshina, получается к стоматологу не надо же идти девочки ? @nikakmenyanezovut, просто я так испугалась , она как крышка упала этот зуб , когда я выдернула