Мила
k.milka
Мила·Мама двоих (младенец)

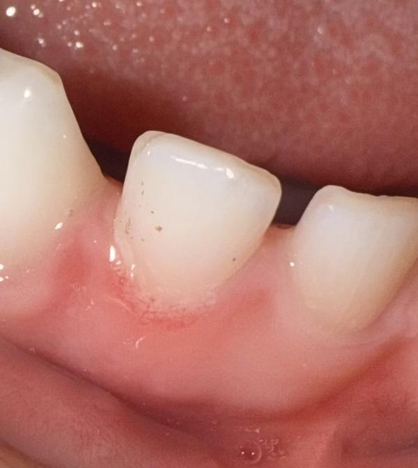
Кариес на зубе у ребенка: как определить и что делать

post image

Девочки, это кариес на зубе? Были на осмотре у стоматолога месяц назад, все было хорошо. А вчера заметила это.

24.11.2025

Комментарии

grigoriya
Григория·Мама сына (9 лет)

Купите пасту с ферментами 👍

24.11.2025 Нравится Ответить
k.milka
Мила·Мама двоих (младенец)

Можете посоветовать какую?

24.11.2025 Нравится Ответить
grigoriya
Григория·Мама сына (9 лет)

@k.milka, 16915687

24.11.2025 Нравится Ответить
malenkayalife
malen’kayalife🌸·Мама двоих (1 год, 10 лет)

Это налет

24.11.2025 Нравится Ответить
malenkayalife
malen’kayalife🌸·Мама двоих (1 год, 10 лет)

Сходить на чистку

24.11.2025 Нравится Ответить