
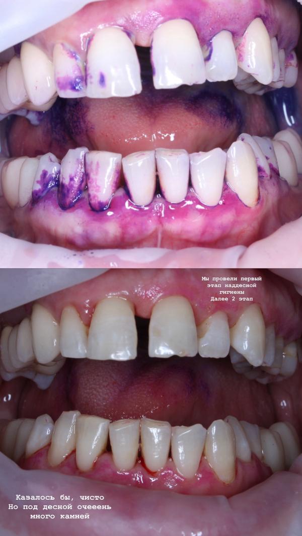
Первый этап лечения десен-наддесневая гигиена
Второй этап-убираем все отложения под десной. Вылечим нашу десну и пациент готов к лечению на элайнерах
Комплексная проф.гигиена-5000р
Лечение гингивита-5500р
Лечение пародонтита от 7000 до 11 тысяч в зависимости от количества этапов
Принимаю в двух клиниках: на Шамиля «клиника Шамова» по субботам
В будние дни-на Гагарина 82 стом «Сити Дент»
@dianamir98, получается вы консультацию проводите и говорите что именно нужно сделать?
А то я не знаю у меня есть эти штуки или нет🤣
@ummm18v, конечно😂
Сначала провожу бесплатную консультирую, объясняю все, что есть у пациента и что нужно ему провести
После если удобно и мне, и пациенту могу принять сразу(если есть время), либо уже записываем в другой день🫶
Индивидуально, на самом деле
Но данной пациентке будет под анестезией, у неё повышенная чувствительность
Можно ваш прайс?
И по какому адресу вы принимаете?