



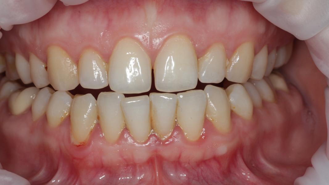
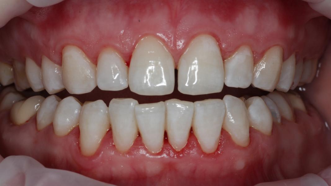
Девочки привет🤍
Провели комплекс✨
Чистка+отбеливание🦷
И наш шикарный результат😍



Щели между зубами можно исправить, с помощью ортодонтического лечения
Брекеты либо элайнеры)
Чистку боюсь не приятная процедура проходила ее несколько раз , а вот отбеливание ? Больно ?
@maryam.stom, такой идеальный результат 🥹нужно один раз провести отбеливание
И почему на зубах нижних такие щели? между зубами пустота