Стоматолог | Астана
meruert_dent
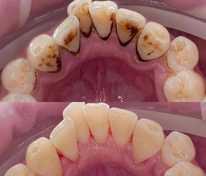
Стоматолог | Астана·Мама сына (5 лет)
post image
23.11.2025
3

Комментарии

dina84898489
Дина·Мама двоих (4 года, 7 лет)

Это где чистку делают ?

24.11.2025 Нравится Ответить
meruert_dent
Стоматолог | Астана·Мама сына (5 лет)

Я вас запишу на приём🌷

24.11.2025 Нравится Ответить
meruert_dent
Стоматолог | Астана·Мама сына (5 лет)

На этой неделе чистка по 12990

24.11.2025 Нравится Ответить
dina84898489
Дина·Мама двоих (4 года, 7 лет)

@meruert_dent, хорошо запишу вас 🤗пока я еще продолжаю лечить зубы

24.11.2025 Нравится Ответить