
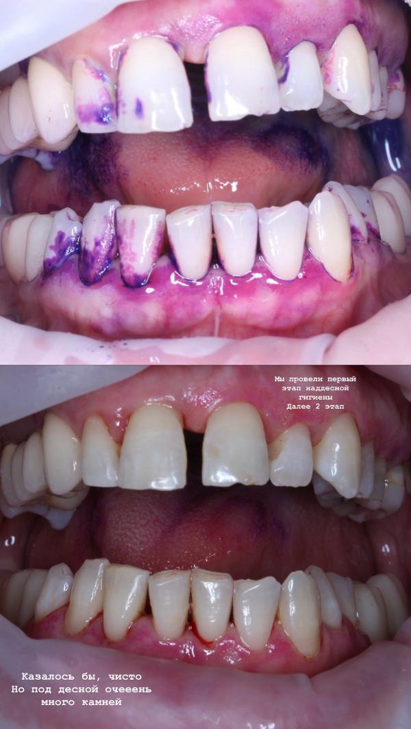
Сегодня день пациентов с поддесневыми камнями
Самое интересно, на фотографии у пациента на фото «после» очень много камней под десной
Но на фотографии их абсолютно не видно и можно бы сделать фото после и сказать, что всё почистили и отлично.
Но мы то знаем, чем это чревато. Очень часто пациентам вычищают все над десной, а под лесной камни увеличиваются в размерах и разъедает кость. Развивается пародонтит
Провели сегодня этап наддесневой гигиены, следующим этап-поддесневая обработка
Это моя проблема( в прошлой раз так больно было во время чистки что теперь страшно идти снова