

Девочки, кто разбирается, подскажите, пожалуйста. Пульпит или не пульпит?
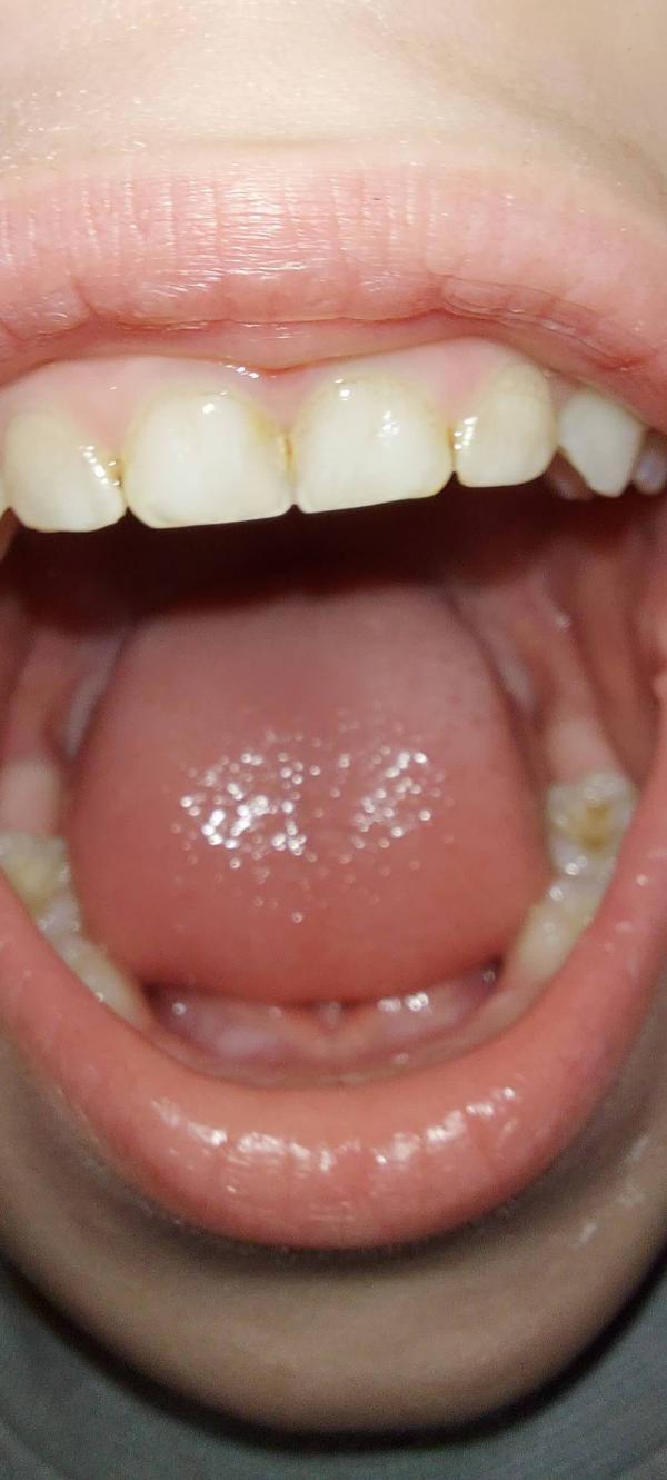
Толи я дурак, толи лыжи не едут, как говорится... ну, не вижу я пульпита никакого. По мне так обычный кариес. Или нет?



@1_elena_1 ну, на боковых резцах вообще близко к камере полости. На четвёртом как будто пульпит есть и на пятом кариес, но не точно. Снимки так себе по качеству.
@zdrastezdraste да, согласна, размыто всё. В общем надо обратиться ни к одному специалисту.
@1_elena_1 не удивительно 😅 там у них все пульпит почти . Может в другую обратиться
Основные признаки пульпита — это сильная, часто пульсирующая боль, которая усиливается ночью или при воздействии холода/горячего, и повышенная чувствительность к сладкому, кислому и температурным раздражителям. Другие симптомы могут включать отёк десны, покраснение, неприятный запах изо рта, а в запущенных случаях — гнойные выделения.
Вот вообще не про нас 🫠 Походу клиника, действительно, бабла решила срубить. Насчитали лечения на 87 тыщ.
Вроде на снимка пульпит не увидишь,только на осмотре,но признаки пульпита-это очень темные тени на зубе,врач так объяснял.Вас осматривали?
Да, осматривали. Тут же на осмотре снимки сделали. На них ткнули: смотрите, вот пульпит
Тут пока кариозная полость не сообщается с пульповой камерой, на мой взгляд , но очень близко. Но в молочных зубах глубокого кариеса почти не бывает и практически всегда такие глубокие полости лечат как пульпит. Тут много пораженных тканей, можно легко вскрыть камеру. Есть симптомы какие-то?