
У старшей пневмония 😔 казалось бы температурила всего 4 дня и уже почти двусторонняя пневмония
Кто как лечился? Опасно ли?? Как вам лечение и уход в 3 детской?
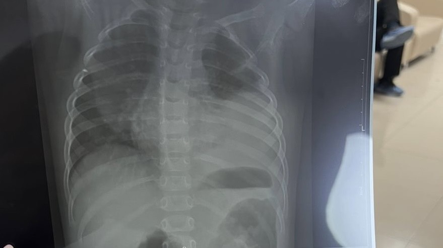
Те дни когда сбивали температуру она бегала игралась. Сегодня вялая очень, тяжело дышит и плачет😭😭😭душа болит… сделали рентген и вот итог
У нас левосторонняя пневмония. Врач прописал декасан( ингаляция 7 дней). Теперь сижу и думаю, может к другому педиатру сходить, чтобы хорошее лечение назначили
Не опасно, не переживайте главное вы под присмотром профессионалов, много воды давайте теплой не холодной, так как во время пневмонии ребенок часто потеет надо менять одежду но будьте аккуратнее когда меняете чтобы нигде не сквозило в палате (дверь,окно не открытая) жирной еды нельзя, молочной продукции тоже,сладкое нельзя из фруктов так же придерживаетесь цитрус, банан нельзя, после больницы не гуляйте в общественных местах так как после пневмонии хорошенько надо восстанавливаться организм очень слабая, желательно смотрите чтоб ребенок спал или просто когда лежит на одном боку чтобы лежал, больше бульона давайте! Все будет хорошо🙏🏼
(0555) 218-981 Жыргал Жоошбаев 3 раза пролечил старшему пневмонию, дома лечились, на капельницы ездили
Мы в 10 мес, 1,4 и 1,6 болели двухстронней бронхопневмонией
Иммунитет сильно ослаб
Но можно излечиться
Каждый раз по неделю лежали в больнице
Питание нужно хорошее и витамины восполнить
Гемоглобин, железо , ферритин проверить
Мы недавно вышли из больницы , Скорейшего выздоровления . У нас тоже была пневмония , лежали в материнство и детство
@quienss, которая на московской , вроде норм . Нас выписали по раньше , не до конца вылечились . Так как палаты прохладные
В md клиник Ольга В пульмонолог , в 3 детской ажа, каких только вирусов и инфекций не прихватите..