

Девочки, привет 🌸
Хочу поделиться своей историей - возможно, кому-то она будет полезна или просто откликнется
Мы с мужем ещё с седьмого месяца моей первой беременности знали, что хотим деток с маленькой разницей в возрасте. И когда в роддоме раздался первый крик нашего сына, я посмотрела на мужа и сказала: «Мы точно идём за вторым!»
Но сначала всё откладывалось из-за ГВ. Да, знаю, что многие беременеют во время грудного вскармливания, но я понимала -для меня это потенциальный риск, и хотелось дать телу немного восстановиться.
ГВ у меня было в планах до 6-7 месяцев -так и получилось. Завершила лактацию сама, без таблеток (если интересно, могу потом рассказать, как именно это проходило ).
И вот - февраль. Мы сдаём с мужем анализы, получаем «зелёный свет» от врача и в марте начинаем наши попытки 🤍
Кстати, про врача. Это отдельная любовь! Моя Егорова Елена Сергеевна (Приозерское ш., 18, ЖК №63) — просто невероятный человек. Мы познакомились ещё во время первой беременности, на 10-й неделе, и сразу нашли общий язык. Такого трепетного отношения в государственной клинике я раньше не встречала.
Она всегда с улыбкой, всегда отвечает на вопросы, помогла даже с направлением в Алмазово к специалистам — просто по доброте, хотя особых показаний не было.
И вот, когда я снова пришла к ней с новостью о планировании, она буквально ждала меня с // на тесте.
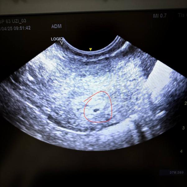
С сыном получилось за 2,5 месяца, и я надеялась, что теперь всё тоже случится быстро. Так и вышло - 24 апреля я держала в руках заветный тест с двумя полосками А уже 28-го сообщила о нем врачу,а на УЗИ было видно крошечное плодное яйцо, всего 3 мм!
📌 Но тут важное отступление: После завершения ГВ у меня так и не пришли месячные. И началась… тестомания Каждый день я искала симптомы, делала тесты - и это реально превратилось в зависимость.
Поэтому, девочки, если вы только завершили ГВ - дайте телу время, дождитесь первых месячных, чтобы цикл восстановился.
Я этого не сделала, и, возможно, именно из-за этого потом я столкнулась с проблемами…
На фото первые тесты с призраками и первое узи.К сожалению, психанув, я выкинула снимки платного узи и удалила всё связанное с тем периодом.
Всё,что я прикрепила - это максимум,который смогла найти.
Тесты ярчали хорошо.Возможно, я смогу найти и это фото.Прикреплю его в комментариях.
Когда первая эйфория от // прошла, меня словно накрыло волной тревоги. Я ловила себя на мыслях, что в этот раз что-то пойдёт не так. Даже до теста у меня было это чувство. А когда тест показал две полоски - тревога только усилилась.
Каждый день я видела видео с гендер-пати, с новорожденными малышами, с радостью - и плакала. Не от гормонов, нет. А от какой-то внутренней уверенности, что в этот раз мне не суждено…
Это было не объяснить. Просто ощущение, будто тело само подавало сигнал.
Чтобы успокоиться, 5 мая я пошла на платное УЗИ. И, к сожалению, мои страхи подтвердились - плодное яйцо всё то же, 3 мм. За неделю должно было вырасти, но не выросло.
Я старалась держаться. Муж, мама, подружки - все говорили, что я себя накручиваю, что всё будет хорошо. Но внутри я уже знала… Я просто ждала 14 мая, когда должна была попасть к своему врачу, и всё ещё верила в чудо.
Все эти дни у меня дико тянуло поясницу. Не просто тянуло, а болело так, что иногда я не могла сидеть или наклоняться. Я рассказала об этом врачу в платной клинике, но услышала: «Это норма, не переживайте». Тогда я решила не придавать значения. А зря. Эту боль я запомню навсегда.
10 мая я проснулась с каким-то внутренним щелчком. Словно кто-то тихо сказал: «Всё… закончилось».
Боль ушла. Слабость тоже. Слёзы, как будто испарились. Я просто почувствовала пустоту.
После домашних дел, я села на диван, включила телевизор и вдруг ощутила выделения. Посмотрела - розовые… В ту секунду всё оборвалось.
Я начала звонить мужу, маме, писать подружкам.
Как в тумане вызвала скорую, потом дошло, что сына будет не с кем оставить.
Скорая приехала быстро. Я отказалась от госпитализации и узнав, куда нам ехать с мужем, стала ждать его приезда.
Муж мчался домой.К тому времени, выделения уже стали из розовых превращаться в красные.
Как только муж приехал - мы отправились в больницу Святого Георгия (бригада скорой помощи подсказала ехать туда)
Сейчас опубликую вторую часть.