

Давно я ничего вам не писала про зубы 🦷
#запискизубного
Хочу очередной раз напомнить, что лечить детей надо вовремя, когда еще есть рост и его можно направить
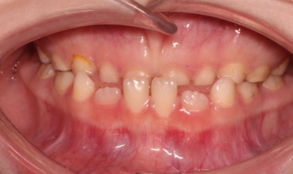
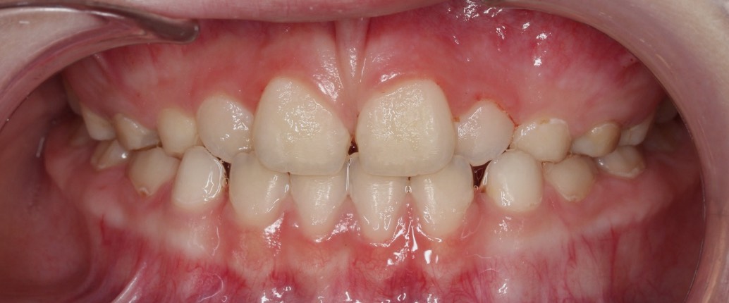
На фото мальчик с медиальным и обратным прикусом
Год носил пластинку, мы добились хорошего перекрытия во фронте, летом он уехал и пропал. Поэтому есть еще проблемы с шириной и перекрытием в области двоек. Сейчас будет второй этап лечения, и мы это исправим
Если бы не исправили это в молочном прикусе, то нижняя челюсть росла бесконтрольно, а верхняя так и осталась маленькой. Лицевые признаки тоже сильно улучшились, уже нет такого явного западнния в области верхней челюсти.
В другой клинике им сказали « ждите смены Резцов» 🙈
В таких случаях ждать не нужно



@rimmaks сколько времени носили пластинку? И что лечащий врач сказал, почему не стало лучше?
@orthodontist добрый день! Подскажите, где вы принимаете? И как записаться на консультацию?
@c4actlivay, здравствуйте, Ленинградское шоссе 25к3
В w/ a написать 89267476680
Как же повезло нашим детям, я только в мае поставила брекеты наконец зубы выровнять к 40 годам, а дочка уже аппарат Хааса относила, так как у нее челюсть в меня-маленькая.
Хорошо, что освещаете такие моменты.
Жень, скажи пожалуйста. А если у ребенка выпал молочный зуб, а под ним на рентгене нет зачатка коренного? Что в этом случае делается? В стоматологии сказали что ставить имплант пока нельзя из за возраста
Если с прикусом все ок, то я минивинт ставлю и на него реставрацию делаем, чтоб место держать и эстетику закрыть
@orthodontist, а то что у Даши снизу нет 5ки ты ж видела?) это не страшно?) она там не скоро вылезет
Здравствуйте. А вы по снимкам можете дать мини консультацию?
Обычно только снимка мало, если это не очевидный вопрос, ответ на который на снимке
@orthodontist, я тоже так подумала. Сначала спросила потом подумала 🙈😄
У мальчика много кариеса или это не он?🤪🙈
А ты, как всегда, молодец!))
А как понять когда нужно ли ставить брекеты?
Можно фото сына отправлю? Пора ли нам? Или встанет на свои места?