

Девочки кто с сталкивался с такой ситуацией?
У моего сына выпал нижний передний зуб и через 2 недели начал расти постоянной криво
Пошли к ортодонту и он сказал,когда выйдут 6 зубы надо поставить пластину на фото описание
Он сказал у него скученности зубов,челюсть маленькая,зубы большие и такое у 70% людей
Почему такое могло произойти?
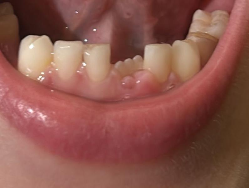
2 фото зуба



@amira_osmanova, лучше ставить там где вы постоянно живете,так как надо каждый месяц ходить к ортодонту.
У сына верхняя челюсть узкая (готическое нёбо) у него из-за языка (язык лежит внизу, не в правильном положении) из-за чего сформировалось готическое нёбо. Тоже скорее всего будем ставить Марко Росса, у сына даже по панорамному снимку видно что на верхней челюсти места постоянным зубам нет
Те что рядом когда выпадут будет нормально . Нам помню еще мама говорила в детстве языком не трогай, а то криво будут расти , вот я боялась вообще не трогала 😅
Причин быть может много.Моей дочке тоже ставить надо,так как нёбо высокое и из-за этого скученность зубов идет.
Эту пластинку можно поставить вроде только до 10 лет,потом уже будет поздно и процесс будет сложнее
Если узкая челюсть,то надо ставить. Моя дочь носит такую пластину уже 9 месяцев,эффект есть.