





5 часов наркоза (13:00-18:00) и 99 тысяч рублей
( вчера они нас конкретно испугали сказав цену в 167 т рублей , после того как дали наркоз. . С собой были 129 т , которые я взяла наверняка, если вдруг машина сломается или что то еще. Ели как собрала 160 т, к вечеру. И какова была моя радость когда увидела чек на 99,200₽, Хвала Аллах1у Господу Миров😭
Потом, по дороге домой из за плохого интернета навигатор повел нас не туда, и мы оказались в Грозном 😁 Как там красиво было 😍 эти высотки 😍 , крч надо там обязательно побывать вечером еще раз и желательно пешком
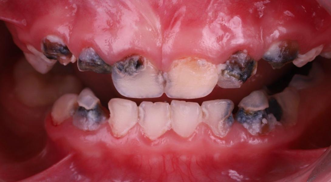
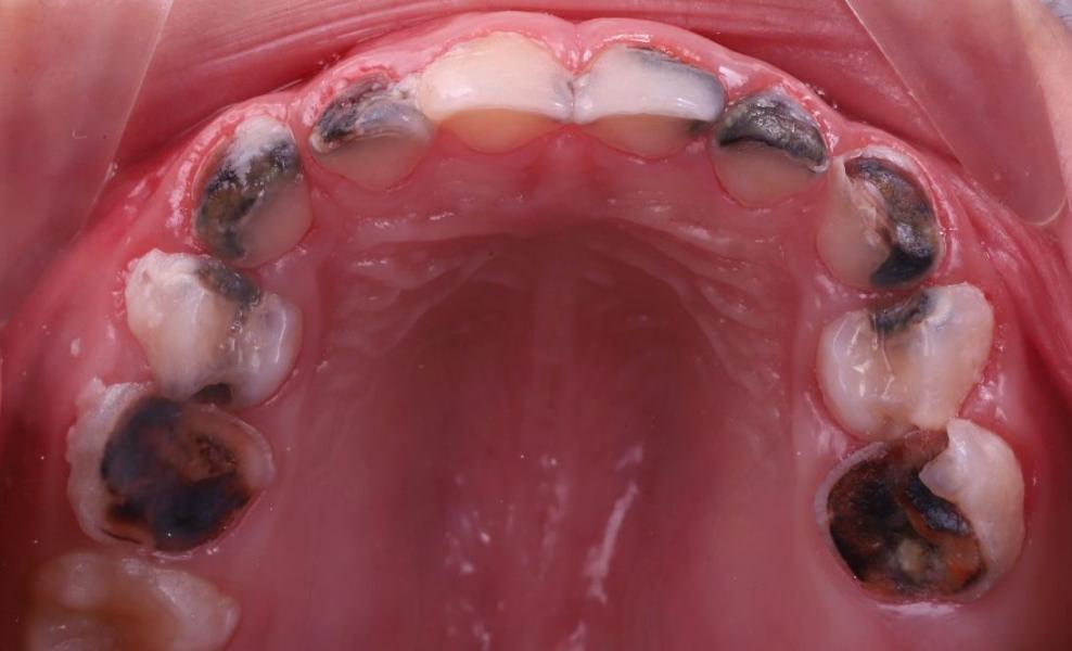
А так насчет зубов , сказали что разрушились из за слабой эмали по причине дефицитов . А по другому и не может быть, если ребенок в несколько суток ест один раз и то как цыпленок
Сказали нужна работа с нутрициологом , Ин шаа Аллах1



Да , так и оставили
Нет , на зубки не жалуются в основном, только один раз на коронку металлическую . Я вообще думала что будет ныть и плакать только так , АльхьамдулиЛлах1 все хорошо
Врач Сабина?🥹
Мы тоже 3 года назад мальчику лечили у Сабины.
Просто настолько шикарная,и качественная работа 👍🏻👍🏻👍🏻👍🏻👍🏻
Очень довольны🫶🏻
@dzrv.a, ночное гв, какие-то дефициты. Точно не гены, у родителей хорошие зубы
@deyzi_photo, мамина такая
Так жалею, что своей раньше не вылечила, боялась наркоза и все в один голос твердили «молочные же, поменяются»
@dzrv.a, молодец, что решила и вылечила.
Моей сестре тоже твердили и денег тоже не было на тот момент, но зять заработал и сделали всё. Малышка счастлива, не болят, ест отлично. Зубы то реально поменяются, но не без последствий, это вредно даже для кишечника, когда нет норм зубов и ребенок не жует, плюс больные молочные зубы портят и последующие, ведь все взаимосвязано.
@dywka, Нет , только вот два вот вот должны по рентгену, их не трогали
Ва это за какое время они так испортились?🥺 и из-за чего так? Прям все
Ма хьалхе дар оццал наркоз ял цун
Я своей не лечила правда
Сами поменялись
Но у нее не болели они
@soobi, у моих детей обычно до 10 лет уже все зубы меняются, скороспелки в плане зубов 😆
Все зубы кроме постоянных восьмерок поменялись
@dywka, ма шаа Аллах1. Хоть бы у моего тоже пораньше поменялись они 🥲 завтра идем лечить, но без седации, так тревожно мне, вдруг не получится.
@soobi, мы и не лечили
Серебрянкой прошлись пару раз чтоб не болели
Даа, сильное воспаление было
Шикарная и огромная работа. Поздравляю вас 🫶
Спасибо большое ❤️
У кого лечили и где?! Можно узнать ?!
Как раз надо старшему ((
В аят клинике, в Махачкале
Это кому вы лечили ?! Старшему мальчику ?! Или девочке
Ма сих телх цер и цергш, Валлай ц1а йуьлш йоц цыганши цер мел хаз Ц1ен хуьли уьш
у нас в the family тоже очень хорошо делают подобную работу )
А изначально хотела к Дарсиговой, в велар дент, там лечили в два этапа , а хотелось в один, чтобы не делать лишний раз стресс ребенку
Ма ша Аллах1 , как хорошо сделали 👍🏻
как она себя чувствует сейчас ?
Очень хорошо, не жалуется пока что
@deyzi_photo, вот результат
Извиняюсь , а 4-5 фотках снизу и сверху желательные зубы удалили и оставили так? Почему ? Как ребенок себя чувствует на второй день после лечения ?