
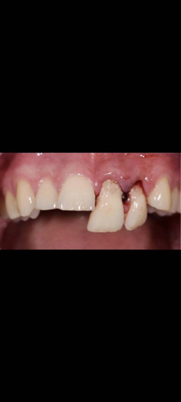
ТРАВМА ЗУБОВ. ВЫВИХ
Что делать?
💖Ни в коем случае не вытаскивайте зуб, даже если он сильно мешает закрыть рот.
💖Не сплевывайте кровь, не трогайте зубы, срочно обратитесь к стоматологу для репозиции и шинирования.
💖Если в течение дня стоматолог будет недоступен - постарайтесь легким нажатием вернуть зуб на его привычное место (касается только ПОСТОЯННЫХ ЗУБОВ, с молочными все манипуляции делает врач)
💖Чтобы удержать зуб, можно прикусить марлевую салфетку или аккуратно сомкнуть зубы.
Как можно скорее обратитесь к стоматологу.
💖В будущем может потребоваться лечение корневого канала (примерно в половине случаев).
💖💖💖💖
Номер горячей линии по травмам ЗУБОВ
💖+7 499 951-03-03💖
💖сохраните себе
Если вы не знаете что делать, по этому номеру вас проконсультируют