
Девочки, поделитесь опытом у кого так было, и все далее было хорошо 😇
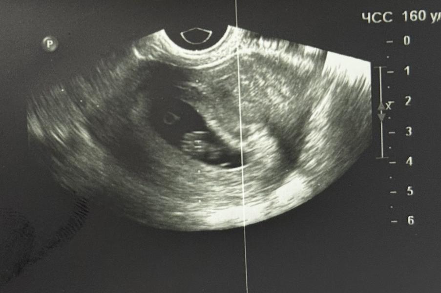
Пошла сегодня на узи. Сб 160. Ктр 14. Беременность 7,5.
Потом ехала домой увидела что написано жм 6,7..узист ничего не сказала, фото смотрю и просто не вижу там никакого большого жм…что думаете?
Конечно же я безумно переживаю..пошла на узи потому что пропали симптомы и я испугалась. В пятницу перед выпиской после сохранения. Жм 4мм. Ктр 11. Сб 170



Если бы оно становился меньше, меня бы это не пугало, а оно увеличивается
@ykristina2 ну первое время растет же . К 7-8 неделям как раз достигает своего пика в росте .
Вы на узи видели ЖМ?
Там же смотрят под разными ракурсами, на каком то пропадает эмбрион, на каком то ЖМ, на каком то сразу все видно, нет повода беспокоиться
@ykristina2, тогда исход такой: Врач изначально померила все параметры пя, жм, эмбриона, а далее врач вывел Вам картинку на которой видно сразу все , поставив приоритет эмбрион, если бы она поставила приоритет жм, то эмбрион был бы меньше, врачи такие цифры из головы не берут, жм рассасывается, НО не на таком сроке. Так что успокойтесь, не накручивайте раньше времени))
Ну жм слева колечко . Просто возможно акцент врача был именно на эмбрион , поэтому получилось фото так ,что ЖМ маленький. Вскоре он и вовсе исчезнет и это нормально. Не накручивайте себя , все хорошо. Вон уже человечик какой большой вырос