DJENNI
umm.zayd
DJENNI·Мама сына (2 года)

Кариес на детских зубах: как определить и что делать

post image 1
post image 2
post image 3
post image 4

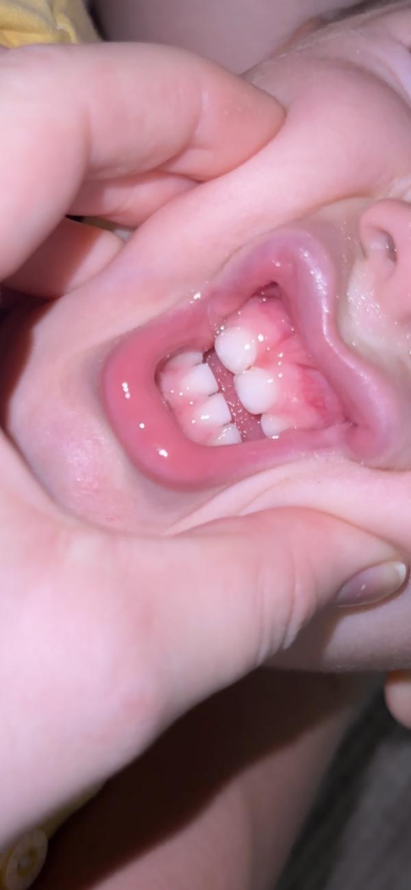
Как думаете на зубе на первом фото есть кариес ?

На следующих фото вот есть на передних контактный кариес

Так слежу за его зубами и Ма тебе 🤧🤧

24.10.2025

Комментарии

amra_decor_
AMRA·Мама дочки (4 года)

По фото не понятно , вроде все чисто

24.10.2025 Нравится Ответить
asidrat387
Мама4·Мама четверых детей

Я не увидела кариеса

24.10.2025 Нравится Ответить