





История про прикус. Часть 4.
Я не буду рассказывать, как я искала хирургов, какие варианты были, там тоже та еще "пипец история" была с нервотрепками и тд, но речь не об этом.
Скажу лишь, что в Саратове не делают таких операций. Это называется "двухчелюстная остеотомия" или ортогнатическая операция, можете загуглить, кому интересно))))
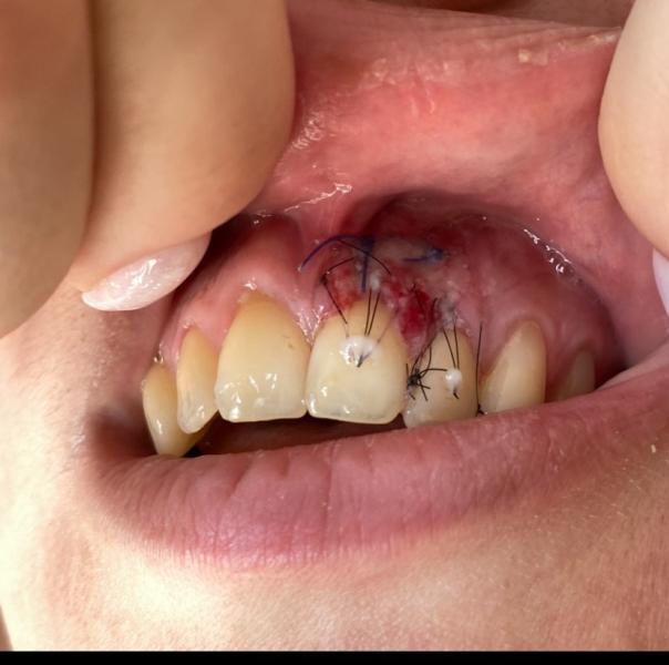
Так вот, я остановилась на Москве. Нашла себе хирурга, который готов был взяться за меня. У него ассистентка - сама тоже хирург, но не челюстно-лицевой, то есть, сама операции не проводит по распилу, но она занимается как раз деснами. Уже прям на консультации они оба меня посмотрели и прикинули примерный план - сначала мы наращиваем десна там, где это критично (наращивали в итоге мне на 4 зубах, на 2 их них перешивали, так как не прижилось. Два сверху - потому что, по словам хирурга, когда сделают распил челюсти и начнут раздвигать ее в стороны, десна на правых моих верхних резцах, как чулок,скатается наверх, и внизу, как раз там, где совсем голо...туда мне еще подсыпали костную ткань, чтобы все держалось лучше). Потом делаем распил верхней челюсти, так как (как видно по фото в прошлом посте) мне явно не хватает ширины челюсти- с одной стороны верхние зубы не накрывают нижние, потом я лечусь на элайнерах, мне ортодонт ставит все зубы в то положение, в которое скажет хирург, и затем уже основная операция, в ходе которой мне как раз распилят обе челюсти на 3 части каждую и соберут их заново.....
Затем ортодонт снова ровняет мне зубы, уже до идеала доводит… Потом я меняю все пломбы под новый прикус, вставляю импланты… и тд и та….)
Ну, что ж....план намечен - начали выполнять.......Прошлым летом я несколько раз ездила в Мск, мне срезали кусок ткани с нёба и пришивали к деснам....Рассказывать, какой это писец, я думаю, нет смысла........ Потому что по фотографиям и так понятно, наверное))) Я специально первое фото прикладываю "нормальное", чтобы не портить ленту у мамочек, а кто хочет - посмотрит дальше)
Да на самом деле то, что я пережила - это пока цветочки))) потому что после основной операции период восстановления - 6-8 мес. Первые из которых рот открывать нельзя вообще, его связывают резинками… питаться - через шприц. Зубы чистить - непонятно как. Разговаривать - тоже. Все лицо в отеках. В синяках. Все болит… несколько месяцев на пюре… Потом разрабатывать челюсти свои… у некоторых - через боль… уффф…
Девочки привет ) Может есть тут среди вас адвокаты по гражданским делам ? Или кого-то посоветуете?
У меня ситуация кринж 😅🤪.
Если коротко, одному папе из группы моего ребенка в садике, не понравилось, что я летом переодически приходила в лосинах за своим ребенком. Он мне сначала сделал комплимент о моей фигуре и попросил чтобы я больше не носила обтягивающие вещи 🙈, на что был послан. Но ! Он бегает по воспитателям и заведующей садика, спустя 1,5 месяца и пытается найти на меня рычаги влияния...
Телефонный разговор с сестрой
- алло, привет. Как дела?
- привет, норм, сами?
- дальше о том, о сем
Она: - блин встала в 6 утра и так каждый день
Я: - я тоже, сейчас малой рано встаёт
Она: - ну потом ты спишь же
Я:- нет, когда как, то дом, уборка и т.д.
Она: - но когда кормишь лежишь же отдыхаешь же, а я даже прилечь нету времени
......... Пока, пока
И после этого разговора, какой-то осадок, получается если родная сестра так думает, что я дома отдыхаю, про других молчу, она же тоже мама, должн...
Пришла сегодня ко мне дама с Авито за детскими сапогами .
Ставила цену в 550₽,она попросила скинуть до 400₽.
Согласилась.
Приехала.Сапоги забрала и сразу приходить сообщение от нее:Почему не дали коробку?
Т.е не через рот при встрече было сказано,а в смс после ухода 🤣
Написала ,что коробку с другими сапогами отдала,и если нужна была коробка,то отдала бы ей другую(не фирменную)на что получила:
ДА ВСЕ С ВАМИ ЯСНО🤣
Так вот,милая женщина,если ты здесь сидишь и это читаешь,просто знай ,что ты НАХА...
Вы герой! Я просто в предобморочном состоянии, прочитав и представив все то, что вы пережили((( А ведь действительно, всего этого можно было бы избежать, если бы наши родители в детстве больше внимания уделяли нашим зубам((. У меня тоже проблемы с прикусом и в детстве ни разу я не была у ортодонта. А прикус поехал, судя по фото, лет в 8.