Yisita
yisi
Yisita·Мама четверых детей
post image 1
post image 2
post image 3
post image 4

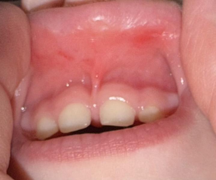
На что похоже? Температура, кашель, насморк, слезоточивость, все за один день прям появилось(

22.10.2025

Комментарии

aht
🌵🌵🌵·Мама двоих (4 года, 6 лет), ждёт третьего

Дал маршал дойл

22.10.2025 Нравится Ответить
aht
🌵🌵🌵·Мама двоих (4 года, 6 лет), ждёт третьего

Похоже на стоматит

22.10.2025 Нравится Ответить