post image 1
post image 2

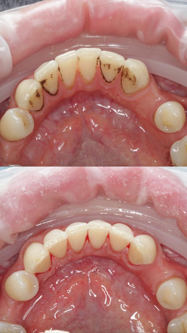
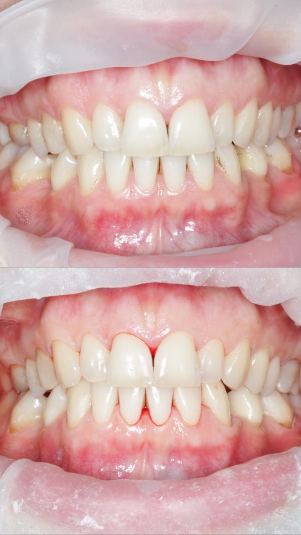
Профессиональная гигиена полости рта во || триместре (у пациентки 17 неделя) 🤰

Милые , беременность - не повод отказаться от ухода за собой✨🤍💋

18.10.2025

Комментариев ещё никто не написал.