Stom mari
stommari
Stom mari·Мама двоих (5 лет, 7 лет)
post image

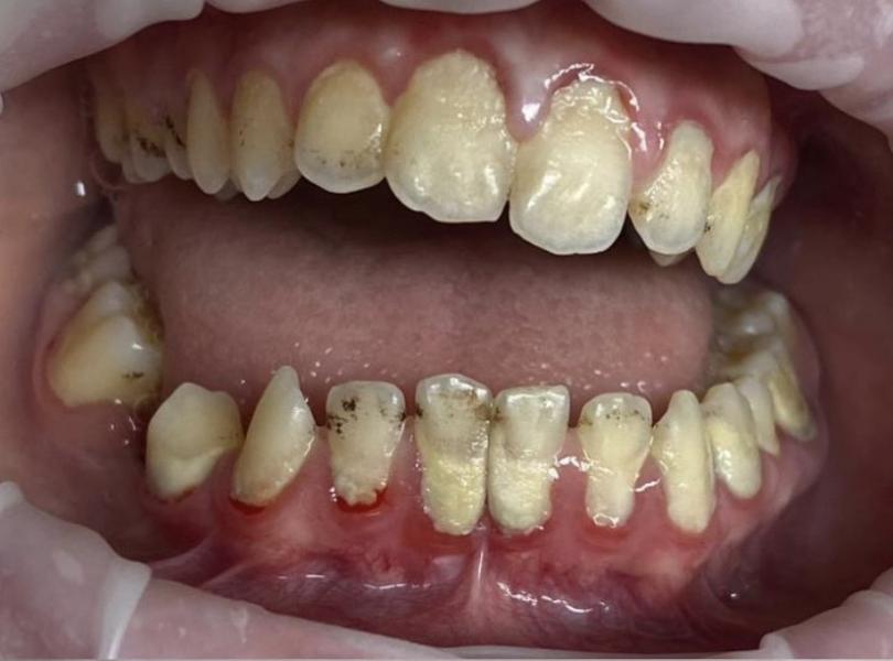
Профессиональная чистка Зубов 2500₽ 💖

Запись по номеру💁🏻‍♀️📱 89886486800

Берегите здоровье Зубов и десен 🦠🦷✨

Иначе лечение будет дорогим и долгим 💔

18.10.2025

Комментариев ещё никто не написал.