Зульхиджа
zusharap
Зульхиджа·Мама двоих (4 года, 9 лет)

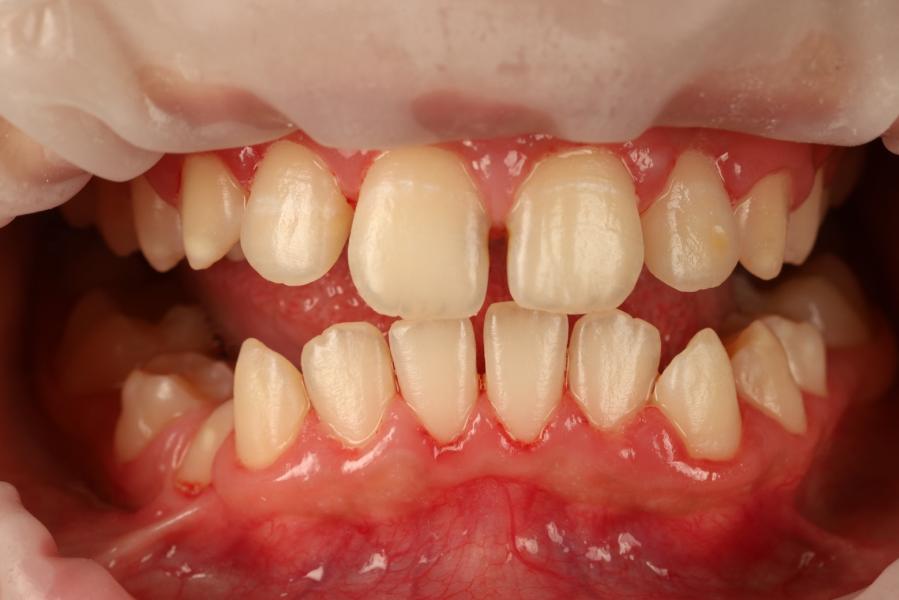
Профессиональная гигиена полости рта: цена 2500 рублей

post image

Профессиональная гигиена полости рта

Чистенькие 💫

Прайс-2.500

12.10.2025

Комментариев ещё никто не написал.