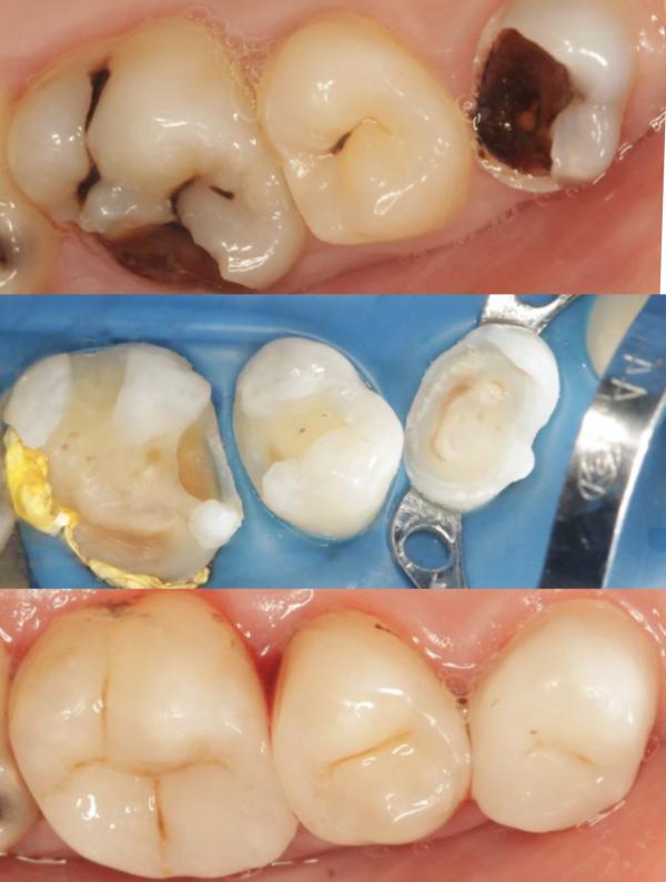
Лечение запущенного кариеса: история спасения зубов

post image

Лечение запущенного кариеса.

Пациентка планировала их удалять 🤣🤣🤣

12.10.2025
3

Комментарии

ummhuzeifa
ummHuzeifa·Мама сына (4 года)

Обалдеть

12.10.2025 Нравится Ответить
ummhaniifa
Hadidja·Мама двоих (4 года, 6 лет)

Идеальная работа 👍👍👍

12.10.2025 Нравится Ответить