Лейла
leyla_stomatolog_derbent
Лейла·Мама дочки (3 года)

Профгигиена полости рта за 2500₽ вместо 3500₽ | Акция 2 недели

post image 1
post image 2
post image 3
post image 4

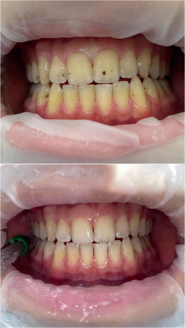
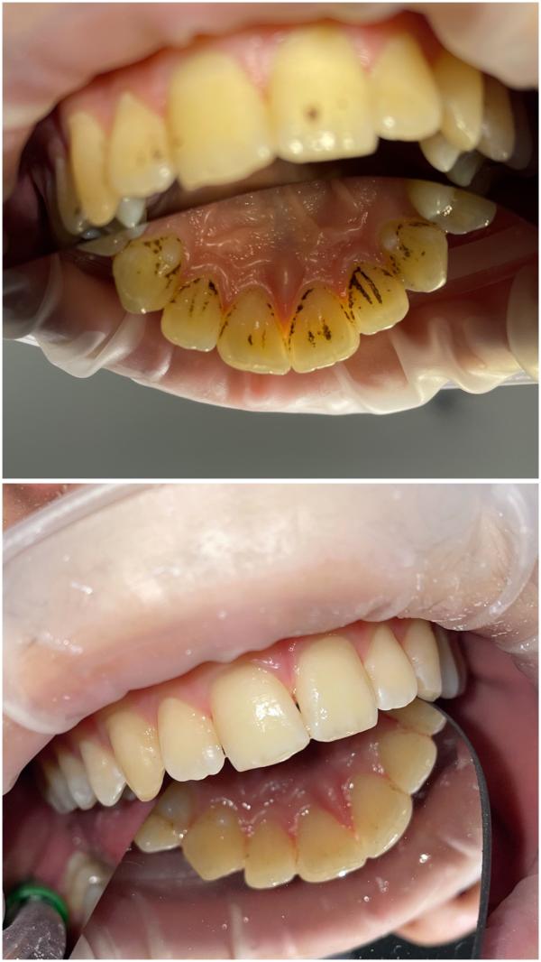
Девочки, ближайшие две недели у вас есть возможность записаться на профгигиену полости рта всего за 2500 вместо 3500,

2000 детям))

Процедура безболезненная, время процедуры 30-40минут🌷во время приема мужчин в стоматологии не будет❤️

Профгигиена включает в себя три этапа:

1 этап: Удаление зубного камня при помощи ультразвука

2 этап: Удаление пигментированного зубного налета с помощью Air Flow

3 этап: Очистка и полировка поверхности зубов при помощи паст и резиновых чашечек

Адрес: Хандадаша Тагиева 16а

NovaDent

11.10.2025
1

Комментариев ещё никто не написал.