ммт
muishkaa
ммт·Мама сына (2 года)

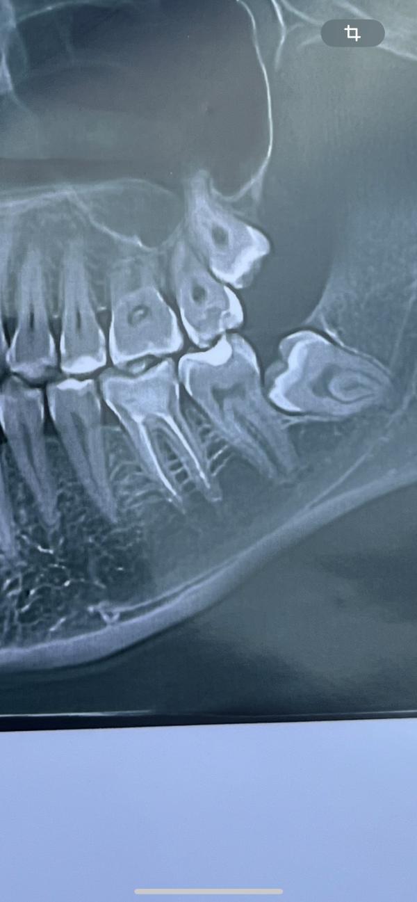
Удалять ли зуб: больно ли это, стоит ли бояться процедуры

post image

Девочки,этот зуб удалять интересно меня сильно замучают?😭

08.10.2025

Комментарии

05ru150781

Нет. У меня хуже был

08.10.2025 Нравится Ответить
muishkaa
ммт·Мама сына (2 года)

Говорят еще будто нервы задевает,но будут смотреть на снимке

08.10.2025 Нравится Ответить