Детский стоматолог/ Ортодонт
samedova_stom
Детский стоматолог/ Ортодонт·Мама двоих (4 года, 10 лет)

Бесплатная консультация по детской профилактике и диагностике

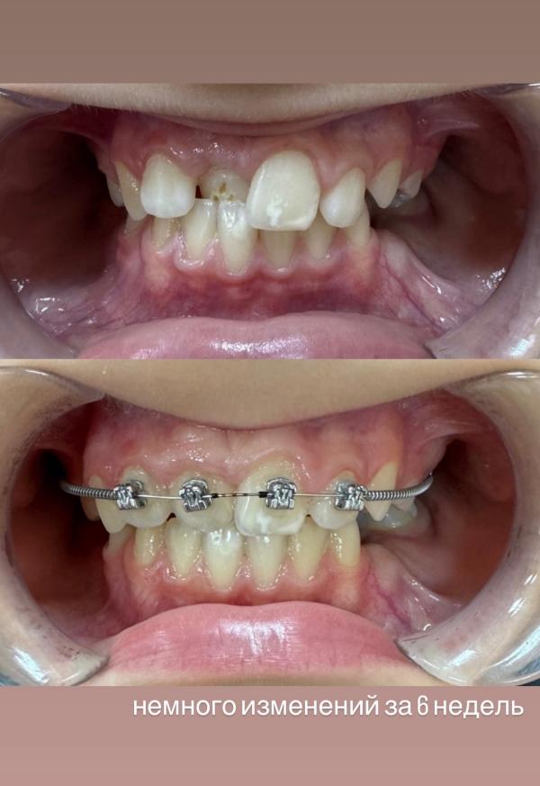
post image 1
post image 2

Лучшее лечение-своевременная профилактика и диагностика в детском возрасте.

Приходите на бесплатную консультацию🌹

07.10.2025
1

Комментарии

luilui.
·Мама троих детей, ждёт четвёртого

А вы стоматолог ортодонт ? На счёт прикуса когда надо смотреть ?

07.10.2025 Нравится Ответить
samedova_stom
Детский стоматолог/ Ортодонт·Мама двоих (4 года, 10 лет)

@ismailovafaina_, Каспийск

07.10.2025 Нравится Ответить
luilui.
·Мама троих детей, ждёт четвёртого

@samedova_stom номер можете оставить ?

07.10.2025 Нравится Ответить
samedova_stom
Детский стоматолог/ Ортодонт·Мама двоих (4 года, 10 лет)

@luilui., 89996460422

07.10.2025 Нравится Ответить