Stom mari
stommari
Stom mari·Мама двоих (5 лет, 7 лет)

Профессиональная чистка зубов 2500₽ - запись по номеру

post image

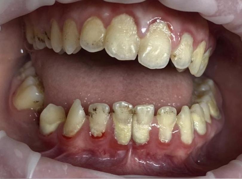
Профессиональная чистка Зубов🦷✨🦠

2500₽ запись по номеру 💁🏻‍♀️📱89886486800🩵

07.10.2025

Комментариев ещё никто не написал.