
Профессиональная чистка Зубов 2500₽ 🦷✨🩷
Запись по номеру 💁🏻♀️📱89886486800
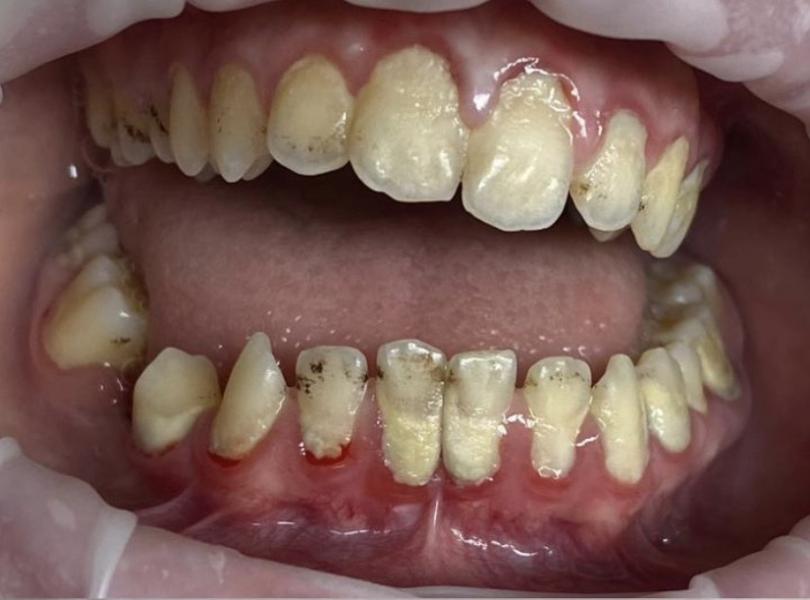
Если отложить чистку зубов, накопившийся налет, в котором размножаются бактерии, 🦠выделяет кислоты, разрушающие зубную эмаль. 💔Со временем эти процессы приводят к началу кариеса, когда в эмали образуются полости, заполняемые бактериями🦠