
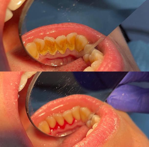
Чистка зубов , результат до/после
Стоимость процедуры - 3000₽
Причин на самом деле множество : первостепенное - это отсутствие правильной и каждодневной гигиены , чрезмерное употребление крепкого чая или кофе , вредные привычки, такие как курение , общесоматические заболевания внутренних органов, чаще всего жкт, наследственный фактор
У каждого пациента индивидуально
@alimusa08052012, всегда рада) запись если что предварительная , хотя бы за пару дней
В ленте есть ссылка на инстаграм, там всегда акутальные окошки в сторис, либо , если удобно, могу скинуть номер, в вотсапе также бывает расписание
Примерно также себя чувствуют мои пациенты после чистки 😁
Как будто какой-то груз с себя снимаешь
Кровь из-за того, что убрали зубной камень, который провоцировал воспаление десен
Из-за чего столько налёта камней 😳