
Сходила я все-таки на прием в ЖК, раз уж записалась))
Что сделано:
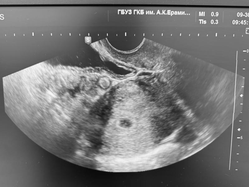
✔️ узи;
✔️ подтвердили, что беременность маточная;
✔️ выяснили, что плодное яйцо 3х недельного размера;
✔️ взяли мазки;
✔️ дали направление на хгч;
✔️ сказали приходить через 10 дней.
Очень рада, что удалось сделать узи, потому что являюсь обладательницей двурогой матки, а в интернете такое пишут … 🤣
И осталась очень довольна ГКБ им. А. К. Ерамишанцева, центр женского здоровья на Полярной
Поздравляю вас☺️🌱с новым началом 🤗