Лейла
leyla_stomatolog_derbent
Лейла·Мама дочки (3 года)

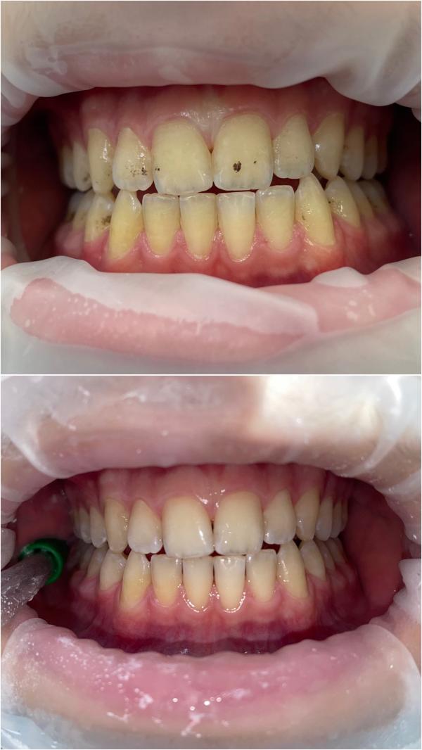
Профгигиена зубов в Дербенте: отзывы и стоимость 2500 руб

post image 1
post image 2

ДЕРБЕНТ

Завтра есть окошко в

14:00

15:00

Профгигиена 2500🌷

26.09.2025
1

Комментарии

djama__
Джама·Мама троих детей

Лечение Зубов сколько стоит ?

26.09.2025 Нравится Ответить
leyla_stomatolog_derbent
Лейла·Мама дочки (3 года)

Лечение кариеса от 2500 до 3500🌷

26.09.2025 Нравится Ответить