



Хотели бы Вы чтобы через месяц после лечения зуба, другой доктор сказал что необходимо лечить зуб снова?
Это информация о том, как важно выбрать врача, который работает по современным протоколам, не использует в своей практике токсические материалы, владеет актуальными и современными протоколами лечения, использует в работе увеличение и постоянно обучается.
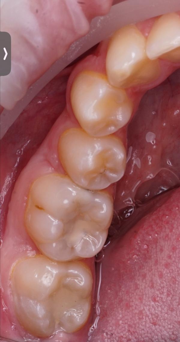
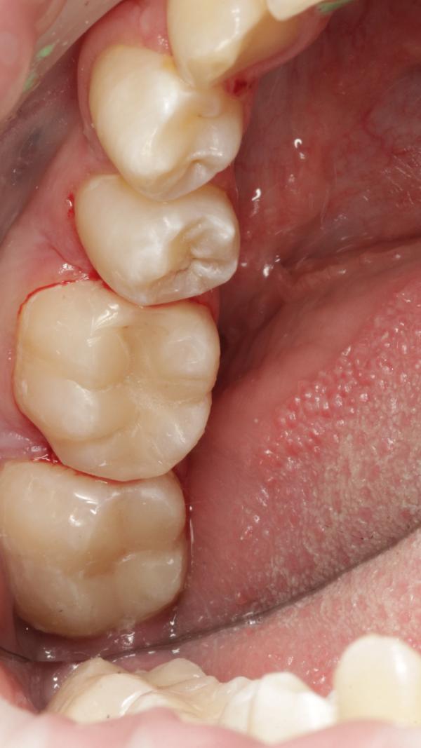
На фотографиях зуб моего пациента В.15 лет, делаю фото для родителей
1. До лечения
2. Подтверждаем наличие кариеса под старыми реставрациями
3. Окончательное очищение зуба, максимально бережно удаляем инфицированные ткани, сохраняя здоровые
4. После лечения



Тут 3 зуба были вылечены, цена у каждого разная, тк разный объем работы, от 6000
В какую стоимость обошёлся зуб?