

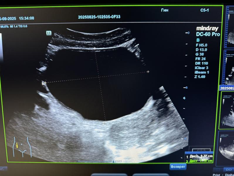
На приеме молодая девушка, детей нет
При проведение УЗИ обнаружила ОГРОМНУЮ кисту правого яичника, которая занимает весь малый таз , больше чем мочевой пузырь , матка
Киста размерами 10 см ‼️
По гистологии : серозная цистаденома
Девушка прооперирована 🙏все хорошо
К сожалению , эндометриодные кисты могут заново появиться (((
Здравствуйте! Подскажите пожалуйста, можно ли как-то с вами дистанционно проконсультироваться по поводу этой опухоли? У родственницы дважды удаляли цестаденому, размерами она вроде даже больше была
Сейчас третий раз выросла, но врач почему-то не удалил ее
Она пришла на плановый осмотр
Когда то у нее обнаружили кисту , но она не наблюдала за ней
Болей , ничего не было
@dr.suleymanova.uzi, что бы записаться к вам , позвонить в клинику надо ?
@regishka05, могу я тоже записать вас
Напишите мне в личку
А после удаления кисты она может снова появиться?У меня удалили на днях эндометриоидную 10см,