maryam.stom
maryam.stom
maryam.stom·Мама двоих (4 года, 9 лет)

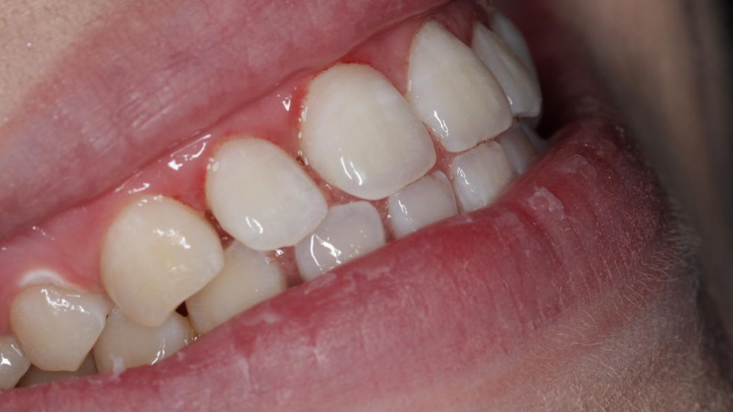
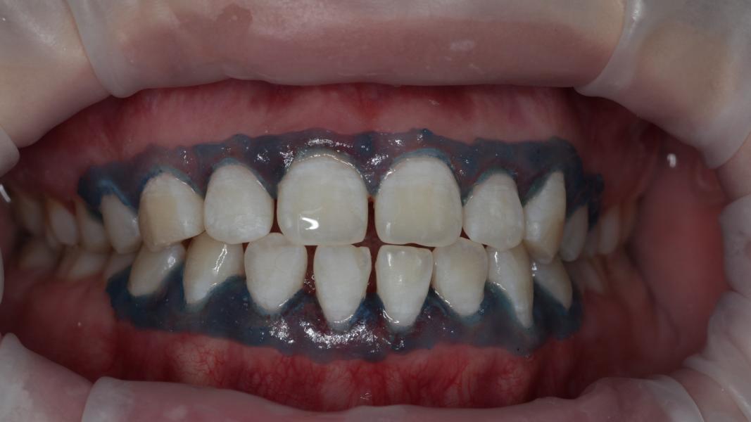
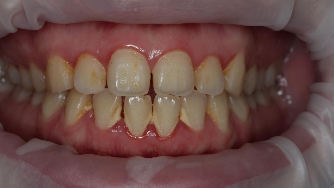
Профессиональная чистка и отбеливание Amazing Premium - результат

post image 1
post image 2
post image 3
post image 4

Проф чистка+отбеливание

Амазинг премиум😍

И наш шикарный результат👏

18.09.2025
4

Комментариев ещё никто не написал.