Зульхиджа
zusharap
Зульхиджа·Мама двоих (4 года, 9 лет)

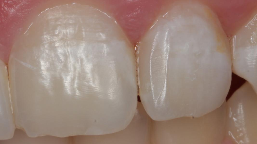
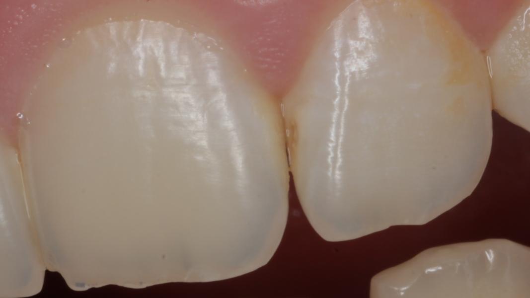
Лечение контактного кариеса: запись на прием к стоматологу

post image 1
post image 2

Лечение контактного кариеса 🦷 🦠

Прием по предварительной записи 🌺

17.09.2025
1

Комментариев ещё никто не написал.