Mar’yam
mary.huraira
Mar’yam·Мама троих детей

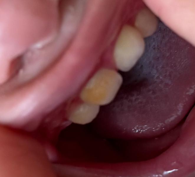
У ребенка в 3 месяца появились зубы: что это и что делать?

post image

Этим зубам нет и трех месяцев ! Что это такое ??? Кому показать , что делать ? Я в шоке

12.09.2025

Комментарии

zairaas
Zaira·Мама троих детей

Это не качественная пломба! У меня тоже таких два зуба

12.09.2025 Нравится Ответить
zairaas
Zaira·Мама троих детей

@mary.huraira, вы пишите он, у вас зубы вышли в 11 мес?🥲

12.09.2025 Нравится Ответить
mary.huraira
Mar’yam·Мама троих детей

@zarinapa, в год ровно вышли верхние , прям в день рождения они все 4 разом прорезались

12.09.2025 Нравится Ответить
umm.atika
Sumaya·Мама троих детей, ждёт четвёртого

@mary.huraira, нам прописали электрической щеткой чистить , некачественное мыть , сказала ТУТ НА ЗУБАХ МЕСЯЧНЫЙ НАЛЕТ хотя я чистила зубы но ели ели

05.10.2025 Нравится Ответить
teddybear97_
Зайка·Мама сына (2 года)

Похоже на налет сильный . Паста intelligent помогает хорошо от налета

12.09.2025 Нравится Ответить
lllhitrayalisalll

Чистите?

12.09.2025 Нравится Ответить
mary.huraira
Mar’yam·Мама троих детей

Да , но полноценной чисткой это не назовешь , он не дает хорошо чистить

12.09.2025 Нравится Ответить
lllhitrayalisalll

@mary.huraira можно у стоматолога убрать налёт но опять-таки он не даст наверное рот открыть

12.09.2025 Нравится Ответить