Зульхиджа
zusharap
Зульхиджа·Мама двоих (4 года, 9 лет)
post image 1
post image 2

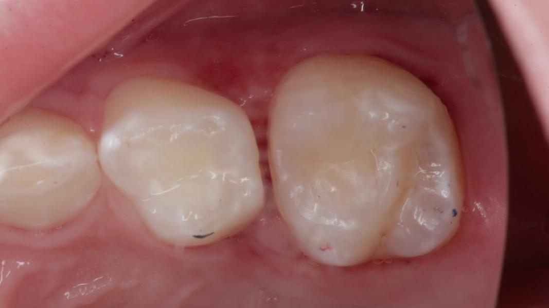
Лечение кариеса 🦷🦠

Прием на Танкаева 15 📍

07.09.2025
1

Комментарии

limacr
Моника·Мама двоих (10 лет, 11 лет)

Герметизация хорошая вещь мужу в детстве сделали на всю полость не одного больного зуба

07.09.2025 Нравится Ответить
asiya535
Асийя·Мама четверых детей

Герметизацию делаете? И еще мои дети плохо чистят зубы в таком случае как часто можно делать проф чистку не вредно ли это ?

07.09.2025 Нравится Ответить