Ненси
nen.mam.g
Ненси·Мама сына (3 года)

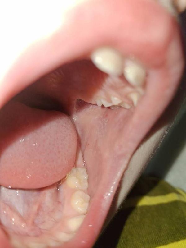
Что это во рту у ребенка: молочница или накусы?

post image 1
post image 2
post image 3

Девочки, подскажите, что такое может быть? Похоже на молочницу? Сегодня чистила зубы и увидела, раньше было похоже на накусы, а сейчас стало больше. если похоже на молочницу то чем лечить? Как на зло суббота...

30.08.2025

Комментарии

belochkann
Белочка·Мама троих детей

Прополощите содой если стоматит или молочница должно помочь, а так есть дежурные поликлиники до обеда работают

30.08.2025 Нравится Ответить
nen.mam.g
Ненси·Мама сына (3 года)

Спасибо

30.08.2025 Нравится Ответить