
Может стоматологи нам врут?👨🔬🦷
Что обязательно надо лечить зубы у детей? У моих племянников в детстве почти у всех были черные зубики с кариесом, сейчас они выросли и у всех нормальные зубы, кто-то носит брекеты, но причины там другие
Детям своим зубы лечу, интересно ваше мнение



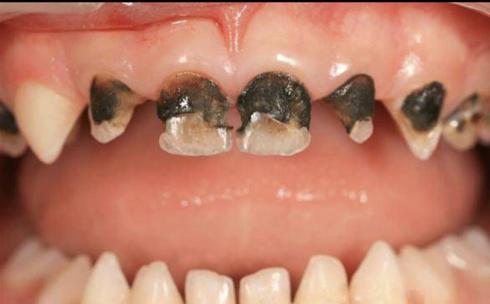
Даже молочные зубы могут болеть, поэтому не надо запускать и вовремя лечить. Своим тоже лечу всегда
молочные да буолбутун иьин ыалдьан сордуур буо, племянниктарым тиистэрэ дьаабы, 3-4 саастарыттан уже ыалдьар диэн ытыыллар. хаьан онтулара туьуер дылы оннук сылдьаллар. уолум кариестаммытыгар эмтэппитим кэбис.
Не врут ага, молочные зубы с кариесом нужно лечить, так как это источник инфекций 🥺
Не врут, нужно обязательно сохранять зубы и лечить🥹🙏🏻
Здоровые зубы здоровое тело итд все взаимосвязано, бактерии распространяются из слизистой в гортань итд короче многое можно рассказать
Не врут, бактерии с кариеса молочных зубов потом подсядут на зачатки постоянных зубов 😅
Мои зубы не лечили, буду тратится на виниры теперь 🥲
Ага, а стоматологи говорят, что если не лечить то это как то негативно повлияет на постоянные зубы
@qwerty01010101 у меня генетика не очень, постоянно лечу зубы, хоть и не ходила в детстве с чёрными зубами, а мужа зубы очень хорошие, ттт, за десять лет брака пару раз лечил зубы
Не знаю как на постоянные зубы, но Кариес оказывает влияние на заболевания горло