Mom.life
МамЛайф
соцсеть мам и беременных
Войти
  1. Лента/
  2. @stom_amina/
  3. Профессиональная гигие...
Врач-стоматолог
stom_amina
Врач-стоматолог·Мама двоих (6 лет, 7 лет)
post image

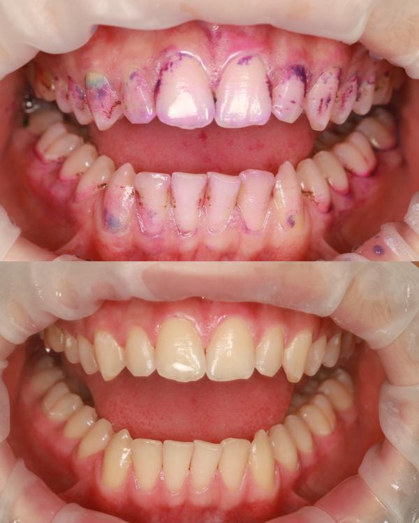
Профессиональная гигиена 🦷🪥

03.08.2025
1
Симптомы лейкоза у детей
mom life article image
Опыт решения запоров у малышей до 3-х лет.
mom life article image
Как Pigeon сохраняет близость между мамой и малышом
mom life article image

Комментариев ещё никто не написал.

Соглашение с пользователямиПоложение об обработке персональных данныхПомощьРеклама в приложенииКаналыЛента Темы
2016 — 2026 ООО Мам Софт
contact@mom.life
лого сколково