

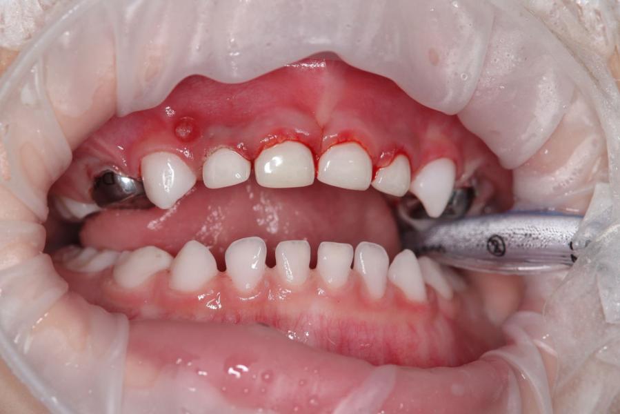
В июне сделали зубы в One dent. С третей попытки все же вылечили зубки младшему.



@madina_mansur, а нижний зуб отсутствовал, нарастили его?
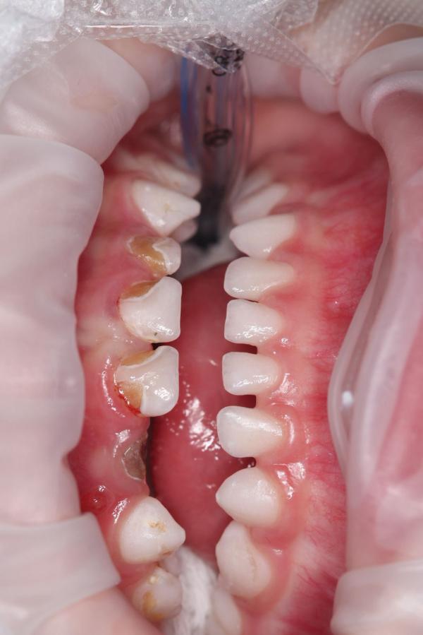
@_saltanat_, нижние зубы у него здоровые. Только верхние лечили. Верхний зуб один раскрошился в марте. Его наростили. На 6 Зубов сделали коронки( передние 4 и жевательные 2 верхних
Во сколько обошлось?